PRESENTACIÓN DE UN CASO


Divertículo sigmoideo gigante complicado en un paciente diabético

 

 

Complicated sigmoid giant diverticulum seen in a diabetic patient

 

 

Dr. José Luis González González, Dr. Joaquín Menéndez Núñez

Grupo de Cirugía Hepatobiliopancreática. Servicio Cirugía General Hospital "Hermanos Ameijeiras", La Habana, Cuba.

 

 

 


RESUMEN

La divertículosis colónica es una entidad frecuente en los países occidentales y representa una de las primeras enfermedades gastrointestinales con mayor repercusión en cuanto a costos de salud. La prevalencia de esta dolencia aumenta con la edad, aproximadamente hasta un 50 % de los adultos mayores de 60 años la padecen. Se señala que una de las razones de este incremento es el bajo consumo de fibras en la dieta y una interacción compleja entre la fibra dietética, la estructura de la pared colónica y la motilidad intestinal. El divertículo gigante de colon (mayor de 4 cm) es una entidad rara, hemos encontrado 156 publicados en la literatura. El presente caso es un paciente masculino de 47 años de edad con múltiples comorbilidades que hicieron su forma de presentación inusual y difícil su diagnóstico.

Palabras clave: colon, diverticulitis, perforación.


ABSTRACT

Colonic diverticulosis is a frequent pathology in Western countries and represents one of the major gastrointestinal diseases with higher impact on health costs. Its prevalence increases with the age and is present in almost 50 % of adults over 60 years old living in these countries. It has been said that among the reasons for this rise is the low dietary fiber consumption, and the complex interaction among the dietary fiber, the colon wall structure and the intestinal motility. Giant colonic diverticulum (over 4 cm long) is a rare entity; we have found just 156 cases reported in literature. This is the case of a 47 years-old male patient, who presented with multiple comorbidities that cause the unusual presentation of the diverticulum and create difficulties in diagnosing it.

Keywords: colon, diverticulitis, perforation.


 



INTRODUCCIÓN

La diverticulitis aguda es la complicación más frecuente de la patología diverticular y se produce de 15 a 30 % de los pacientes con diverticulosis colónica. Los divertículos se pueden encontrar a lo largo de todo el colon, pero principalmente afectan al colon sigmoides, donde constituyen una patología adquirida producida por la herniación de la mucosa a través de las capas musculares de la pared colónica.1,2 En contraste con los divertículos sigmoideos que son adquiridos y usualmente múltipleslos colónicos derechos son usualmente congénitos, solitarios y constituidos por todas las capas parietales colónicas (verdaderos divertículos).3

La prevalencia de los divertículos colónicos aumenta con la edad a partir de los 30 a 40 años y son muy frecuentes en edades avanzadas, afectando hasta al 70% de individuos seniles, son más comunes en los varones.4,5 Los signos y síntomas de presentación de la diverticulitis aguda suelen ser: dolor en el cuadrante inferior izquierdo o medial del abdomen, fiebre, leucocitosis y menos frecuente: anorexia, náuseas, vómitos y reacción peritoneal. Dichos hallazgos clínicos son inespecíficos y pueden ser producidos por una diversidad de entidades patológicas que conllevan distinto tratamiento.6

La diverticulitis aguda puede complicarse con la perforación libre, la formación de un flemón o absceso de fístulas internas o externas, la obstrucción del colon (parcial o crónica) y la constitución de un plastrón con o sin compromiso intestinal o ureteral, lo que puede producir una obstrucción de dichas estructuras.1,6,7,8

Las complicaciones están en relación directa con el tiempo transcurrido hasta realizar el diagnóstico correcto e instaurar el tratamiento adecuado. El retraso en el diagnóstico implica un tratamiento inapropiado, que se traduce en un incremento de la morbimortalidad a causa de la enfermedad.6,7,9

 

PRESENTACIÓN DEL CASO

Paciente masculino de 47 años de edad, de la raza negra, diabético tipo II descompensado, hipertenso y nefropatía grado II. Muy obeso y con antecedentes de riñones poliquísticos.

Refiere desde 48 horas anteriores al ingreso deposiciones diarreicas abundantes, oscuras, muy fétidas y con franco cuadro clínico de hipovolemia, hipotenso, taquicárdico, frío y sudoroso. Se sospecha un sangrado digestivo alto, se ingresa, se repone volemia y se realiza una endoscopia alta de urgencia (EAU). La EAU arroja una duodenitis inespecífica, con signos de una gastritis agudizada y una candidiasis esofágica, sin apreciar signos de sangrado activo en el tubo digestivo superior. Se constatan cifras de creatinina en 290 mmol/l y se realiza ultrasonido abdominal (US) el cual revela la presencia de un asa intestinal fija, pero que no impresiona tumoral.

Se efectúa estudio contrastado de colon con bario (Fig. 1 y 2) donde se aprecian varios divertículos en colon sigmoides y una gran imagen de defecto de lleno que crea un desfiladero a nivel del colon sigmoides, con crecimiento posterior y extravasación de contraste.

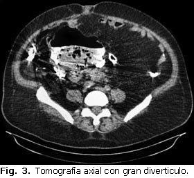
Posteriormente se realiza una tomografía axial simple del abdomen y se concluye como un divertículo gigante de colon sigmoides perforado (Fig. 3).

El Paciente es intervenido quirúrgicamente de urgencia y se confirma la presencia de una extensa área de aproximadamente 20 cm. de colon sigmoides perforada, constituida por un área diverticular extensa, necrosada, con abundantes coágulos y materia fecal líquida. Esta crece a través del mesenterio hacia el retroperitoneo. Mantiene contenida la perforación y su contenido (Fig. 4).

Se realiza resección de colon sigmoides, colostomía proximal y cierre del sigmoides distal (tipo Hartmann). Evacuación, lavado y drenaje de la cavidad. El paciente permaneció en la Unidad de Terapia Intensiva con apoyo hídrico y antibioticoterapia de amplio espectro (ceftriaxone, amikacina y metronidazol) durante 7 días y luego durante 20 días más en sala abierta de Cirugía. Presentó infección parcial de la herida que requirió curas durante toda su estancia. Fue dado de alta a los 31 días de su ingreso.

 

DISCUSIÓN

Una rara complicación de la enfermedad diverticular la constituye el divertículo gigante de colon (DGC)10 considerado así cuando su diámetro es igual o mayor de 4 cm.11,12 Descrito por primera vez en la literatura francesa en el año 1946, se han publicado hasta la fecha 156 casos de DGC.10,12,13 En el presente trabajo reportamos un nuevo paciente, lo que nos parece importante dada la baja frecuencia de presentación y el escaso número de casos en la literatura internacional. Es de fundamental importancia el diagnóstico temprano mediante los métodos complementarios para no incurrir en errores diagnósticos y evitar las complicaciones.

La enfermedad diverticular del colon es una afección muy común, representa una de las cinco enfermedades gastrointestinales con mayor repercusión en términos de costos de salud en la sociedad occidental. La diverticulitis es su complicación más frecuente, pero su ocurrencia en un divertículo gigante es poco usual y puede presentarse con un cuadro clínico no habitual como en nuestro paciente, con varias comorbilidades sobreañadidas.

 

REFERENCIAS BIBLIOGRÁFICAS

1. Barredo C. Patología diverticular. En: Ferraina P, Oría A. Cirugía de Michans. 5º ed. Buenos Aires: Editorial El Ateneo; 2003. p. 867-71.

2. Netter FH. Anatomía de la porción inferior del aparato digestivo. En: Colección Ciba de Ilustraciones Médicas. t II. parte. 21 ed. Barcelona: Ed. Salvat; 1983. p. 51-3.

3. Oudenhoven LF, Koumans RK, Puylaert JB. Right colonic diverticulitis: US and TC Findings new insights about frequency and natural history. Radiology. 1998;208 (3):611-8.

4. García Pugés A. Dolor abdominal. En: Farreras P, Rozman C. Medicina Interna. vol. I. 13ª ed. Barcelona: Ed. Doyma; 1995. p. 140-6.

5. Birnbaum BA, Balthazar EJ. CT of appendicitis and diverticulitis. Radiol Clin North Am. 1994;32(5):885-98.

6. Sebastián Atilio Rossini, Rubén F. González Villaveirán, Salvador Merola. Utilidad de la Tomografía Computada helicoidal en la diverticulitis aguda. RAR. Volumen 73 No.3.2009. 291-302.

7. Ahn SH, Mayo-Smith WW, Murphy BL, Reinert SE, Cronan JJ. Acute nontraumatic abdominal pain in adult patients: abdominal radiography compared with CT evaluation. Radiology. 2002;225(1):159-64.

8. Pradel JA, Adell JF, Taourel P, Djafari M, Monnin-Delhom E. Acute colonic diverticulitis: prospective comparative evaluation with US and CT. Radiology 1997;205:503.

9. Urban BA, Fishman EK. Tailored helical CT evaluation of acute abdomen. RadioGraphics. 2000;20(3):725-49.

10. Steenvoorde P, Vogelaar F, Oskam J, Tollenaar R. Giant colonic diverticula: Review of diagnostic and therapeutic options. Dig Surg. 2004;21(1):16.

11. Nicholson Y, Angel L, Caliendo F, Procaccino J. Giant colonic diverticula. Surg Rounds. 2007;5:40-5.

12. Ochoa E, Esquivel C, Badra R, Cornet M, Marangoni A, Divertículo gigante de colon. Presentación de un caso. RAR. 2008;72(4).

13. Welch J, Cohen J. Diverticulitis. In: ACS Surgery: Principles & Practice. New York (USA): WebMD;2007. p. 716.

 

 

Recibido: 12 de mayo de 2013
Aprobado: 10 de julio de 2013

 

 

Dr. José Luis González González. Grupo de Cirugía Hepatobiliopancreática. Hospital "Hermanos Ameijeiras". La Habana, Cuba. Correo electrónico: joseluis@infomed.sld.cu